親知らず
親知らずとはなにか、その名称の由来
親知らずという名称を一度は耳にしたことがある人が大半だと思いますが、それがどの歯のことを言っていて、どうしてそのような名前がついたのか、その由来をご存知の方は少ないかもしれません。
親知らずとは、歯の奥歯のさらに奥に生える歯で、正式名称を「第三大臼歯」と呼び、智歯(ちし)とも呼ばれています。通常人間には左右7本づつ、上下合わせて28本の歯が揃いますが、これが10代後半から20代前半のころに奥歯の奥に1本生えてくる歯があります。上下左右生えたら歯の合計は32本になります。
親知らずはその萌芽する年齢が20歳前後という、親が子どもの歯の中を見ない、「親が知らない」時期に生えてくることから、親知らずと呼ばれています。
親知らずを抜く・抜かないの判断
実はこの親知らず、抜くか抜かないかは、その状態次第で決めます。つまり、その境目は、虫歯や歯周病に親知らずが掛かってしまい、健康に害をきたしてしまう場合です。
親知らずは最も奥に存在していることから、歯ブラシによる掃除が行き届かず、プラークがたまり虫歯になってしまったり、歯周病になってしまったりします。それもその親知らずの周りをも巻き込むことがあります。
親知らずを抜かなくてもいい場合
「他の歯と同様に綺麗に生えている場合」「骨の中に完全に埋まっている場合」は、歯磨きをしっかりとできるため、プラークを取り除くことができますので、抜歯しなくてもいいです。
抜かなければならない場合
一方で、「横向きに生えてきたりして他の歯とは異なった生え方をしている場合」「骨から一部分放出している場合」はプラークをしっかりと取り除くための歯磨きなどが大変なため、抜歯することをお勧めいたします。
症例
左上8 親知らず
| 抜歯前 | 抜歯後 |
|---|---|
![]() |
![]() |
| 抜歯前 |
|---|
![]() |
| 抜歯後 |
![]() |
右下8 親知らず
| 抜歯前 | 分割後 | 抜歯後 |
|---|---|---|
![]() |
![]() |
![]() |
| 抜歯前 |
|---|
![]() |
| 分割後 |
![]() |
| 抜歯後 |
![]() |
右下8 親知らず
| 抜歯前 | 分割後 |
|---|---|
![]() |
![]() |
| 抜歯前 |
|---|
![]() |
| 分割後 |
![]() |
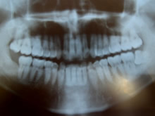
治療が必要な症例
| 健康な口腔内 | 治療が必要な口腔内 |
|---|---|
![]() |
![]() |
| 健康なパノラマX線写真 | 左下8 親知らず 抜歯適応症例 上顎8は抜かなくても良いケース |
| 健康な口腔内 |
|---|
![]() |
| 健康なパノラマX線写真 |
| 治療が必要な口腔内 |
![]() |
| 左下8 親知らず 抜歯適応症例 上顎8は抜かなくても良いケース |































